《飞图影像》是一款能协助医生随时随地调阅影像数据的软件。借助它,医生可以更便捷地查看患者的CT影像并撰写影像报告,还能通过平台与其他医生开展远程交流协作,从而助力自身专业知识技能的提升。
游戏详情
飞图影像是一款专为医生开发的影像管理应用,能为您提供并存储医学影像资料,专注于医学影像的检查、诊断、学术交流以及远程会诊等功能。
飞图影像是一款专门面向医生群体开发的移动应用程序。这款App集成了丰富的功能模块,能够满足医生在移动办公、学术交流研讨以及医疗协作等多方面的需求,堪称忙碌医生日常工作中的得力助手。
软件特色
【移动办公】不受时间地点限制调阅影像数据,不管是在院内还是院外场景,都能轻松完成阅片和撰写报告的操作;
【医疗协作】针对疑难病例发起协助申请,请求上级医生或专家提供支持,开展远程诊断工作。
【交流研讨】和其他医生一同分享病例,开展专业层面的研讨与学术交流活动,以此提升自身的专业技能水平。
软件功能
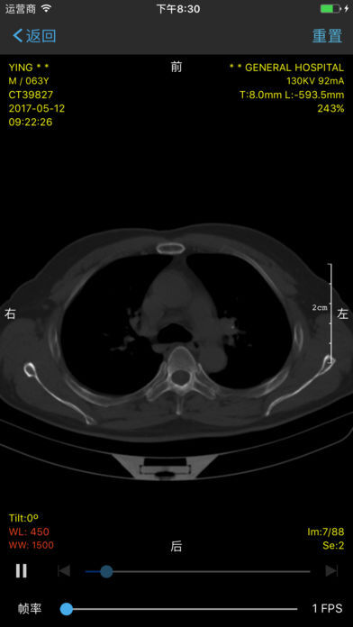
【原始数据 高清影像】采用DICOM格式,完整留存信息细节,精度更优。
【功能丰富,实用强大】能够完成WL、测量、角度、CT值、旋转等各类操作;
【操作便捷,易于上手】契合医生使用习惯,无需复杂学习流程;
【瞬时加载,流畅无阻】依托前沿的GPU运算、影像预加载及本地存储等技术,彻底告别卡顿、模糊与漫长的加载等待;
【多措并举,筑牢安全防线】通过严格的资质审核与二次身份验证,有效规避数据被恶意利用的风险;采用加密传输技术,保障信息在传递过程中不被泄露。
更新内容详情
v1.4.1版本更新
1、新增写报告功能;
2、影像加载的优化;
3、上一版本bug的修复。
详细信息
- 文件大小:46.7MB
- 当前版本:V2.19.3
- 上线时间:2026-02-11 03:12:23
软件截图
猜你喜欢
手机办公app合集 ×
153人已预约此应用
确定
取消

5.0分
























































